- 初回相談無料
- 完全予約制
美しさこそ予防の鍵
美しい歯並びが良好な噛み合わせを生み出し、お口の中の病気を予防します。矯正治療で100年使用するお口とお身体を健康にし、値段のつけられない素敵な笑顔を見せてください。
美しい歯並びが良好な噛み合わせを生み出し、お口の中の病気を予防します。矯正治療で100年使用するお口とお身体を健康にし、値段のつけられない素敵な笑顔を見せてください。
2年連続プラチナ
プロバイダー取得
成人矯正
月々8,500円〜
小児矯正
月々5,000円〜
痛みの軽減・
治療期間の短縮
が可能



患者さま一人ひとりに合った治療をご提案します。
住所:埼玉県鴻巣市宮地4-15-6
薄さ約0.5mmのポリウレタン製の透明なマウスピース型装置です。精密な型どりに基づきフィットするようにできた装置を、歯列にはめ込んで歯を動かします。近くでじっくり見られない限り気づかれることがなく、なめらかな形状なので口腔内での違和感もほとんどありません。
ご自身で取り外し、約2週間に1回、次の段階の装置に交換します。装置1枚につき歯の移動距離が約0.25mmという無理のない動かし方をするので、痛みも抑えられます。交換時の通院も不要なので、通院回数も少なくすみます。
装置を取り外しての食事や歯磨きが可能で、金属アレルギーの心配もないので、ストレスなく治療を続けていただけます。
装置は透明な材料でできています。精密な型どりに基づき作られていて歯列にフィットし、しかも表面がなめらかなので、パッと見ただけでは装置をつけていることがわかりません。
ワイヤーとは異なり、装置を自分で取り外せます。ワイヤー・ブラケットのように装置が邪魔になることなく、歯ブラシが細部まできちんと届くので、隅々まで丁寧に磨けて衛生的です。
装置は約0.5mmの薄さしかなく、フィット感に優れています。ワイヤー・ブラケットのように出っ張っていないので、つけていても違和感がほとんどありません。
口腔内3Dスキャナーと3Dシミュレーションソフトにより歯の移動をシミュレーションできるので、治療後の美しく整った歯並びが事前にわかり、治療への意欲が向上します。
装置は約2週間に1回交換しますが、当院ではなくご自身で行なっていただくので、通院は1~2ヵ月に1回程度(※)と少なくなります。通院の予定が立てにくいという方も安心です。※通院回数は目安ですので、口腔内の状態や治療の進行状況により異なります。
装置は、ポリウレタンという材料でできています。金属が含まれていないため、金属アレルギーを発症する心配がありません。どなたでも安心してお使いいただけます。

薄く透明なマウスピース型装置なので、周りからはほとんど見えず、口元の審美性を損なわずに治療を続けられます。少しずつ歯を動かすので、痛みも抑えられます。
また、ご自身で取り外し、装置のない状態でいつもどおりに食事を楽しみ、きちんと歯を磨けるので、治療中のストレスを軽減できます。
精密な型どりと歯の移動シミュレーションを経て装置が作製されるので、より精度の高い治療を行なえます。
デンタルローン利用で
120回まで分割可能
〈デンタルローンご利用例(実質年率3.9%の場合)〉
初回お支払い 13,500円:翌月以降 8,500円×119回分割 【ご返済回数】120回最大24回分割なら
金利は医院が負担
〈24回分割支払いご利用例〉
頭金 340,000円:翌月以降 21,000円×24回分割 【ご返済回数】24回
混合歯列期(乳歯・永久歯の混在期)のお子さま用のマウスピース型装置です。通常のマウスピース型装置(インビザライン)と同じ特長がありますが、顎を拡げながら歯並びを整えられます。
学校で装置をからかわれることもなく、普段どおりに食事や歯磨きができますので、周囲の視線が気になり始める中学生になる前にきれいな歯並びを得るためにも、小学生のうちの治療を検討されてはいかがでしょうか。
デンタルローン利用で
120回まで分割可能
〈デンタルローンご利用例(実質年率3.9%の場合)〉
初回お支払い 8,640円:翌月以降 5,000円×119回分割 【ご返済回数】120回最大24回分割なら
金利は医院が負担
〈24回分割支払いご利用例〉
頭金 335,000円:翌月以降 7,000円×24回分割 【ご返済回数】24回
とくに目立つ上の前歯の出っ歯やすきっ歯などを、部分的に改善します。気になる部分だけに装置をつけるので、歯列全体に装置をつけるよりも治療期間が短くなり、治療費も低価格ですみます。
症状や患者さまのご要望に応じて、マウスピース型装置(インビザライン)またはワイヤーをご提案します。
なお、部分的な歯並びの治療ですので、噛み合わせを改善したい方にはおすすめできません。
デンタルローン利用で
120回まで分割可能
〈デンタルローンご利用例(実質年率3.9%の場合)〉
初回お支払い 5,500円:翌月以降 4,500円×119回分割 【ご返済回数】120回最大24回分割なら
金利は医院が負担
〈24回分割支払いご利用例〉
頭金 300,000円:翌月以降 6,250円×24回分割 【ご返済回数】24回
小型のスキャナーで歯列をなぞることで、歯の凹凸や咬合面の溝など細部まできちんと撮影され、モニターに精密な歯型が再現されます。従来の印象剤を使った型どりは、口をあけたまま硬化を待つなど患者さまが苦痛を感じるものでしたが、このスキャナーであれば上下数分で歯型をとれるので、負担がなく快適です。
歯型はすぐにモニターに表示されますので、それを見ながら症状などの詳細をご説明します。

口腔内3Dスキャナー(iTero)で得た精密な歯型のデータをもとに、モニター上で歯の移動をシミュレーションします。治療中にどのように歯が動くのかを知れるほか、治療後の美しく整った歯並びも事前にわかるので、目標とする歯並びへの改善意欲が高まります。
また、患者さまのご要望を反映して治療計画の修正などもできるので、より患者さまに合う装置を作製できます。
患者さま一人ひとりに合った治療をご提案します。
住所:埼玉県鴻巣市宮地4-15-6
むし歯や歯周病は、お口だけでなく全身の健康の損失につながるため、「予防」を徹底し、患者さまの健康づくりをお手伝いします。
口腔内環境や健康目標は患者さまごとに異なるものなので、検査により状態を把握し、その方に合ったオーダーメイドの予防・治療計画をご提案します。大人の方にはご自身の歯を1本でも多く残せるように、お子さまには通院の習慣化と将来の健康維持を見据えたサポートをいたします。

診療器具はすべてクラスB滅菌器やタービン専用滅菌器で滅菌・消毒し、常に清潔なものを使っています。各個室に口腔外バキュームと加湿器付き空気洗浄機も設置しているので、衛生的な空間で受診いただけます。
また、患者さま用のエプロン・コップなどは使い捨て製品を利用し、スタッフは頻繁な手洗い・消毒、グローブの使用ごとの交換を行なうなど、感染予防対策を徹底しています。

より適切な検査・診断・治療を行なうため、患部を5~25倍の拡大視野で診られるマイクロスコープ(歯科用顕微鏡)を使っています。歯根内の神経を処置する根管治療をより精確にできるほか、むし歯部分の取り残しや健康な歯質の過度な切削の回避、詰め物・被せ物と歯との段差・すき間を生じさせないなど、精密な処置ができます。
これらが、将来ご自身の歯を残していただくことにつながります。

すべての診療室を完全個室にしていますので、ほかの患者さまを気にせずリラックスして診療に臨んでいただけます。また、院内はバリアフリー設計にしていますので、ベビーカーや車いすの方にもストレスなく通院いただけます。
なお、当院ではお子さまが退屈せず楽しく遊んで待てるキッズスペースをご用意しています。ベビーカーのまま利用いただけますので、小さなお子さまをお連れの方も安心です。

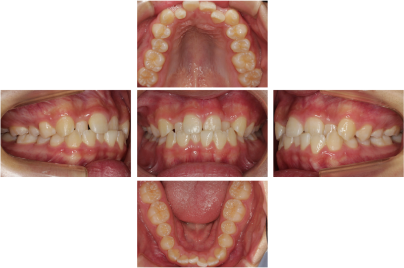
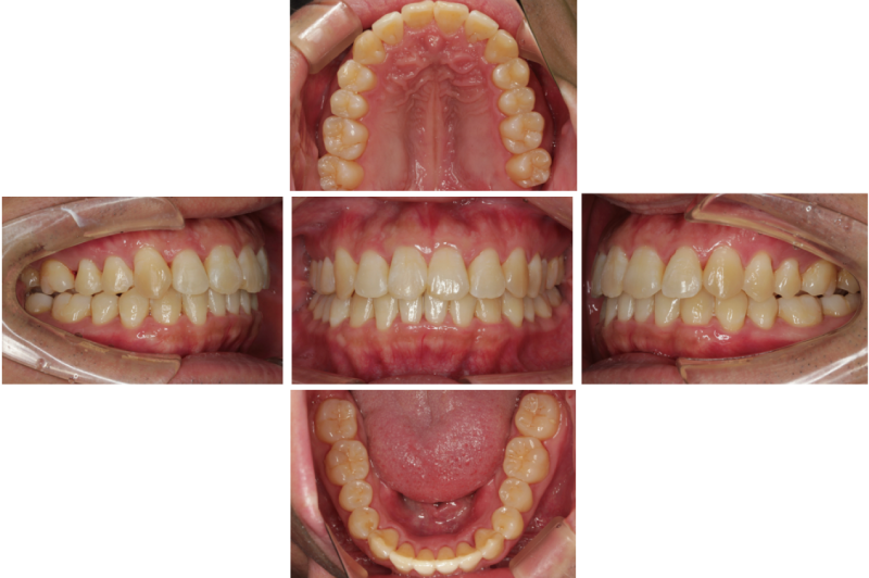
患者さまの歯並びのお悩みやご希望の治療方法、矯正治療に関する不安や疑問などをお話いただきます。それらをきちんとお聞きし、具体的にお答えします。また、装置や費用のことなど矯正治療の概要をわかりやすくご説明します。
ほかの歯科治療に比べ治療時間・費用がかかる矯正治療に対して、患者さまが不安を感じられるのは当然です。どのようなことでもどうぞお気軽にお尋ねください。

より適切な検査・診断・治療を行なうためには、さまざまな検査を行ない、口腔内の状態を多角的に把握することが大切です。
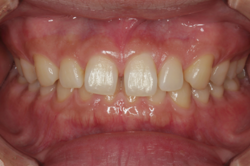
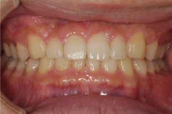
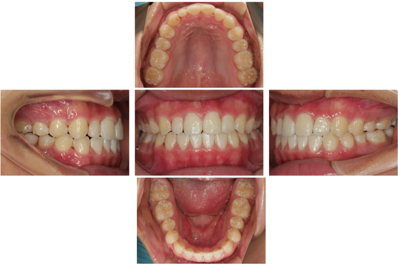
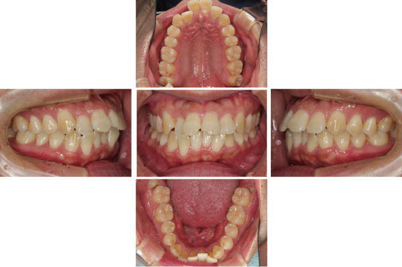
治療前後を比較するための顔貌写真・口腔内写真撮影以外に、通常のデジタルレントゲンはもちろん、立体的で詳細な情報を得られる歯科用CTでも撮影します。そのほか、咬合検査やむし歯・歯周病検査を行なうなど、矯正治療に必要な精密検査を行ないます。

精密検査の結果をもとに診断を下し、治療計画を立案します。患者さまの歯並びや現在の口腔内の状態だけでなく、ご希望の治療方法・装置、ご予算なども含め総合的な視点から判断します。
患者さまにとって最適だと思われる治療計画をご提案し、使う装置や治療の見通しなどについて詳細にご説明します。ご納得いただけるよう丁寧にお話しますので、ご不明な点がありましたら、どのようなことでもご質問ください。

むし歯や歯周病がある状態で矯正治療を始めてしまうと、症状の悪化につながることがあります。とくにワイヤーを使う場合は、むし歯や歯周病を治療しづらくなってしまうので、それらがある場合は治療を終わらせてから矯正治療を始めます。また、抜歯が必要であれば先にすませておきます。
状況によってはすぐに矯正治療を始められませんが、良好な結果を得るための大切な工程になります。

矯正治療を行なううえで欠かせない工程が、精密な歯型とりです。当院では、従来の印象剤のような不快感がなく、精確性に優れた歯型をとれる口腔内3Dスキャナー(iTero)を使っています。
印象剤を使った歯型は、劣化・変形・破損することがありますが、スキャナーを使うことでデジタルデータとして保管できるので、精確性が損なわれることがありません。患者さまにもすぐにお見せできます。

精確性に優れた歯型のデータをいかし、歯の移動をシミュレーションします。治療中の歯の動きはもちろん、改善されてきれいになった歯並びも知ることができます。
このシミュレーションを見て「歯をもっと後ろに」などご要望がありましたら、それを反映した治療計画へと修正できます。治療開始後に、歯に想定外の動きが見られた場合も、再度型どりとシミュレーションを行なうことで、治療計画を変更できます。

歯のクリーニングをしたあと、治療中の注意事項などをご説明し、実際に装置をつけて治療を開始します。
治療中の通院回数は、マウスピース型装置で1~2ヵ月に1回、ワイヤーで1ヵ月に1回程度となります(※)。来院ごとにむし歯・歯周病などにかかっていないか確認し、クリーニングを行ないます。また、歯の移動状況などをお伝えするほか、患者さまの不安や疑問などもお聞きします。※通院回数は目安ですので、口腔内の状態や治療の進行状況により異なります。

歯は、移動させると元の位置に戻ろうと「後戻り」をします。そのため、歯が目標の位置まで動いてきれいに整っても、後戻りを防ぐため、保定期間を設けます。
保定期間中は保定装置をつけ、移動後の定着していない歯をゆっくりと時間をかけて定着させます。この期間も、歯の移動期間と同じく個人差があります。
また、定期的に通院いただき、歯の定着状況の確認やクリーニングなどを行ないます。

お子さまは骨が軟らかいため、大人とは異なり歯だけではなく顎骨も動かせます。成長に合わせて顎骨をコントロールし、適切な位置へと導きます。
上下顎の幅を拡げて永久歯の萌出スペースをつくる装置、顎骨をコントロールして出っ歯や受け口を改善する装置、乳歯の受け口を改善する装置などを症状や年齢に合わせて使い分けることで、歯並び・噛み合わせの良い美しい口元をつくれます。

永久歯が生えそろう前につけ、顎を拡げる装置です。舌・頬・唇などお口の周りの筋肉のトレーニングになるので、正しい嚥下・呼吸・姿勢を獲得できます。
お子さまを適切な歯並び・噛み合わせへと導くことは大切ですが、歯列矯正用咬合誘導装置(プレオルソ)の使用には、将来矯正治療をするときに歯を動かしやすくするという目的があります。
装置はご自身で取り外せるので、就寝時などにつけていただきます。
| 初診カウンセリング料 | 無料 |
|---|---|
| 調整料 | 5,500円 |
| リテーナー(保定装置) | 初回無料 |
| 精密検査料・診断料 |
35,000円(税込)
|
| マウスピース型装置(インビザライン)一般的な治療期間:1~3年 / 一般的な治療回数:30~36回 |
850,000円(税込)
|
|---|---|
| 小児用マウスピース型装置(インビザライン・ファースト)一般的な治療期間:1~1年半 / 一般的な治療回数:15~20回 |
500,000円(税込)
|
| 部分矯正(インビザライン、ワイヤー)一般的な治療期間:1~2年 / 一般的な治療回数:6~18回 |
450,000円(税込)
|
お支払いには、以下をご利用いただけます。
詳しくは当院スタッフにお尋ねください。
申告者本人または生計をともにする(同居している配偶者や子どもなど)のために、1年間(1月1日から12月31日まで)に支払った医療費の合計額が10万円を超える場合、一定の金額が控除される制度です。控除金額の上限は200万円です。
申告者本人または生計をともにする(同居している配偶者や子どもなど)のために、1年間(1月1日から12月31日まで)に支払った医療費の合計額が10万円を超える場合、一定の金額が控除される制度です。控除金額の上限は200万円です。
おもに、下記の内容に支払った医療費が控除の対象になります。
◦医師または歯科医師による診療・治療
◦治療または療養に必要な医薬品の購入
◦病院、診療所、介護老人保健施設、介護医療院、指定介護療養型医療施設、指定介護老人福祉施設、指定地域密着型介護老人福祉施設または助産所への入所
◦あん摩マッサージ指圧師、はり師、きゅう師、柔道整復師による施術
◦保健師、看護師、准看護師による世話
など
2017年分以降の確定申告書を提出する場合は、「医療費控除の明細書」を作成し、確定申告書に添付してください。
※2017年分から2019年分までの確定申告書を提出する場合は、明細書ではなく領収書の添付または提示も可能です。医療費控除についての詳細は、国税庁のホームページ「医療費を支払ったとき(医療費控除)」、「医療費控除の対象となる医療費」をご確認ください。
皆さま、こんにちは。
埼玉県鴻巣市の歯医者、漆原歯科・矯正歯科クリニック 院長の漆原です。
当院では「一度きりの人生をいつまでも美しく、そして輝きながら健康に過ごしていただきたい」という想いを込めて、予防はもちろんのこと矯正歯科にも力を入れております。単に歯並びを整えるだけではなく、むし歯・歯周病になりにくい口腔環境づくりを行なう治療を大切にしております。
歯がきれいになり口元が改善される喜びを実感すると、笑顔に自信がもて人生がより豊かに彩られます。そのため、まず最初に全体的に検査し、患者さまのお口の現状と今後どのように変化していくのかを、ご自身に知っていただく必要があります。
そこからご一緒に口腔機能と美しさの調和を目指し、皆さまの人生がより価値のあるものになりますよう、サポートしてまいります。
食べることは、日常生活の楽しみのひとつです。一生ご自身の歯を残せたら、好きなものをきちんと噛んで食事を楽しめます。しかし、ご自身の歯を残せず、満足に食べられなかったら、日々の楽しみが半減してしまいます。
当院では、矯正治療で歯並び・噛み合わせを改善して、病気になりにくいお口の獲得を目指しています。100年きちんと使えるお口づくりができる計画をご提案し、患者さまとご一緒に歩んでまいります。

生涯にわたり心身の健康を損なわず心豊かに過ごすためには、いつまでもご自身の歯を残し、その歯できちんと噛めることが大切です。
当院では、患者さまの口腔内環境を把握し、その方に合わせた治療計画を立案することで、永続的に噛めるお口づくりを行ないます。病気の発症と治療をくり返すのではなく、予防まで含めた治療計画をご提供することで、病気にならずに一生噛める歯の獲得を目指します。

むし歯や歯周病の予防は、お口の健康づくりの基本です。しかし、歯並びが悪いと充分に歯を磨けず、病気を発症しやすくなります。また、噛み合わせが悪いと歯に余計な負担がかかり、歯槽骨(歯を支える骨)が減少しやすくなります。
そのような事態を避けるため、当院では矯正治療で歯並び・噛み合わせを改善することまで視野に入れた予防ケアをご提供しています。
多角的な予防で、お口の健康づくりをサポートいたします。


| 医院名 | 漆原歯科・矯正歯科クリニック |
|---|---|
| 院長名 | 漆原 優 |
| 所在地 | 〒365-0075 埼玉県鴻巣市宮地4-15-6 |
| 診療時間 | 月・火・水・金・土:9:00~12:00(最終受付 11:30)13:30~18:00(最終受付 17:15) |
|---|---|
| 休診日 | 木・日・祝日 |
| 駐車場 | 6台分完備 |
| 月 | 火 | 水 | 木 | 金 | 土 | 日・祝 | |
|---|---|---|---|---|---|---|---|
| 9:00~12:00 (最終受付 11:30) |
● | ● | ● | / | ● | ● | / |
| 13:30~18:00 (最終受付 17:15) |
● | ● | ● | / | ● | ● | / |
患者さま一人ひとりに合った治療をご提案します。
住所:埼玉県鴻巣市宮地4-15-6
・機能性や審美性を重視するため自費(保険適用外)での診療となり、保険診療よりも高額になります。
・最初は矯正装置による不快感、痛みなどがあります。数日から1~2週間で慣れることが多いです。
・治療期間は症例により異なりますが、成人矯正や永久歯がすべて生えそろっている場合は、一般的に1年半~3年を要します。小児矯正においては、混合歯列期(乳歯と永久歯が混在する時期)に行なう第1期治療で1~2年、永久歯がすべて生えそろったあとに行なう第2期治療で1~2年半を要することがあります。
・歯の動き方には個人差があるため、治療期間が予想より長期化することがあります。
・装置や顎間ゴムの扱い方、定期的な通院など、矯正治療では患者さまのご協力がたいへん重要であり、それらが治療結果や治療期間に影響します。
・治療中は、装置がついているため歯が磨きにくくなります。むし歯や歯周病のリスクが高まるので、丁寧な歯磨きや定期メンテナンスの受診が大切です。また、歯が動くことで見えなかったむし歯が見えるようになることもあります。
・歯を動かすことにより歯根が吸収され、短くなることがあります。また、歯肉が痩せて下がることがあります。
・ごくまれに、歯が骨と癒着していて歯が動かないことがあります。
・ごくまれに、歯を動かすことで神経に障害を与え、神経が壊死することがあります。
・治療中に金属などのアレルギー症状が出ることがあります。
・治療中に、「顎関節で音が鳴る、顎が痛い、口をあけにくい」などの顎関節症状が出ることがあります。
・問題が生じた場合、当初の治療計画を変更することがあります。
・歯の形状の修正や、噛み合わせの微調整を行なうことがあります。
・矯正装置を誤飲する可能性があります。
・装置を外すときに、エナメル質に微小な亀裂が入る可能性や、補綴物(被せ物など)の一部が破損することがあります。
・装置を外したあと、保定装置を指示どおりに使用しないと後戻りが生じる可能性が高くなります。
・装置を外したあと、現在の噛み合わせに合わせて補綴物(被せ物など)の作製やむし歯治療などをやり直す可能性があります。
・顎の成長発育により、噛み合わせや歯並びが変化する可能性があります。
・治療後に親知らずが生えて、歯列に凹凸が生じる可能性があります。
・加齢や歯周病などにより歯を支える骨が痩せると、歯並びや噛み合わせが変化することがあります。その場合、再治療が必要になることがあります。
・矯正治療は、一度始めると元の状態に戻すことが難しくなります。
・機能性や審美性を重視するため自費(保険適用外)での診療となり、保険診療よりも高額になります。
・前歯6本だけを治す方法なので、噛み合わせは改善できません。噛み合わせの改善を希望される方は、全顎の矯正治療が必要となります。
・症状によっては、でこぼこの前歯がきれいに並ぶスペースを確保するため、歯と歯の間を削る必要があります。しかし、エナメル質(歯の表面)を0.3~0.8mmほど削る程度なので、歯への支障はほとんどありません。
・前歯だけの治療となり動きが限られているので、症状によっては希望どおりに仕上がらないことがあります。
・機能性や審美性を重視するため自費(保険適用外)での診療となり、保険診療よりも高額になります。
・正しい装着方法で1日20時間以上使用しないと、目標とする治療結果を得られないことがあるため、きちんとした自己管理が必要になります。
・ご自身で取り外せるため、紛失することがあります。
・症状によっては、マウスピース型装置で治療できないことがあります。
・お口の中の状態によっては、治療計画どおりの結果が得られないことがあります。
・装着したまま糖分の入った飲料をとると、むし歯を発症しやすくなります。
・治療によって、まれに歯根吸収や歯肉退縮が起こることがあります。
・食いしばりの癖が強い方の場合、奥歯が噛まなくなることがあります。
・治療途中で、ワイヤーを使う治療への変更が必要になることがあります。
・お口の状態によっては、マウスピース型装置に加え、補助矯正装置が必要になることがあります。
・治療完了後は後戻りを防ぐため、保定装置の装着が必要になります。
・薬機法(医薬品医療機器等法)においてまだ承認されていない医療機器です。日本では完成物薬機法対象外の装置であり、医薬品副作用被害救済措置の対象外となることがあります。
当院でご提供しているマウスピース型装置「インビザライン」は、薬機法(医薬品医療機器等法)においてまだ承認されていない医療機器となりますが、当院ではその有効性を認め、導入しています。
○未承認医療機器に該当
薬機法上の承認を得ていません(独立行政法人 医薬品医療機器総合機構ウェブサイトにて2023年1月4日最終確認)。
○入手経路等
インビザライン・ジャパン株式会社より入手しています。
○国内の承認医療機器等の有無
国内では、インビザラインと同様の性能を有した承認医療機器は存在しない可能性があります(独立行政法人 医薬品医療機器総合機構ウェブサイトにて2023年1月4日最終確認)。
○諸外国における安全性等にかかわる情報
現在世界100カ国以上で提供され、これまでに1,400万人を超える患者さまが治療を受けられています(2022年9月時点)。情報が不足しているため、ここではインビザラインの諸外国における安全性等にかかわる情報は明示できません。今後重大なリスク・副作用が報告される可能性があります。
なお、日本では完成物薬機法対象外の矯正装置であり、医薬品副作用被害救済制度の対象外となる場合があります。
※当該未承認医薬品・医療機器を用いた治療の広告に対する注意事項の情報の正確性について、本ウェブサイトの関係者は一切責任を負いません。
・薬機法(医薬品医療機器等法)において承認された医療機器であり、おもにマウスピース型装置(インビザライン)による治療を行なう工程で歯型をとるために使います。
・iTeroを使用して行なうマウスピース型装置(インビザライン)による治療は、自費診療(保険適用外)となり、保険診療よりも高額になります。
・印象剤を使用した従来の印象採得に比べ、印象採得時の不快感は大幅に軽減されますが、お口の中にスキャナーが入るため、ごくまれに多少の不快感を覚えることがあります。
・クリンチェックソフトウェアは薬機法(医薬品医療機器等法)において承認された医療機器であり、おもにマウスピース型装置(インビザライン)による治療行なう工程で歯の移動シミュレーションをするために使います。
・クリンチェックソフトウェアを使って行なうマウスピース型装置(インビザライン)による治療は、機能性や審美性を重視するため自費(保険適用外)での診療となり、保険診療よりも高額になります。
・どの矯正歯科医が担当しても同じ治療結果が得られるというわけではなく、必ずしもシミュレーションどおりに治療が進むというわけではありません。
・あくまでシミュレーションなので、実際には難しい歯の移動が組み込まれていると、歯が骨からはみ出して歯肉が下がってしまうなどの可能性があります。
・薬機法(医薬品医療機器等法)において承認された医療機器です。
・機能的・審美的に仕上げるための治療なので、自費(保険適用外)での診療となり、保険診療よりも高額になります。
・取り外せるので、装着時間を守るためのセルフコントロールが必要です。
・お子さまが治療に協力的でない場合、良好な治療結果を得られないことがあります。
・毎日の装着を怠ると、良好な治療結果を得られないことがあります。
・正しい使い方ができていないと、かえって悪い歯並びになってしまうことがあります。
・この装置だけで、お口周りの問題をすべて解決できるわけではありません
「公益社団法人 日本補綴歯科学会」は、顎補綴歯科の専門的知識と技術、経験を持つ歯科医師に対して、「日本補綴歯科学会認定医」の資格を与えています。
○「日本補綴歯科学会認定医」資格取得の条件
・日本国歯科医師の免許を有している。
・厚生労働省の定める臨床研修施設または認定研修機関で診療に従事している。
・歯科医療に2年以上従事している。
・所定の研修内容を満たしている。
・認定医・専門医試験に合格している。
など
○「日本補綴歯科学会認定医」資格保持の条件
・3年ごとに更新を行なう。
など
詳しくは、「規程集」をご覧ください。
インビザライン・ジャパン株式会社は、実践的な内容のコースを受講し、マウスピース型装置(インビザライン)による治療に必要な知識を習得した歯科医師に対し、インビザラインドクターのライセンスを与えています。日本国内の歯科医師免許を有しており、5年以上矯正治療の経験があるなどの受講要件があります。詳しくは「インビザライン・システム導入コースをご確認ください。
●「歯科医師臨床研修指導医」について
厚生労働省は、診療に従事しようとする歯科医師に対し、厚生労働大臣の指定する病院・診療所などにおいて臨床研修を受けることを義務付ける「歯科医師臨床研修制度」を設けています。その研修歯科医に、一般歯科診療について的確に指導し、適正に評価を行なえる歯科医師に「歯科医師臨床研修指導医」の資格を与えています。
○「歯科医師臨床研修指導医」資格取得の条件
・適切な指導体制を有している。
・7年以上の臨床経験を有し、指導歯科医講習会を受講している。または、5年以上の臨床経験と日本歯科医学会・専門分科会の認定医・専門医の資格を有し、指導歯科医講習会を受講している。
など
○「歯科医師臨床研修指導医」資格保持の条件
・臨床研修指導のため研さんを積み続ける。
など
詳しくは、「歯科医師臨床研修制度の新旧比較 」をご覧ください。